あなたに合わせたオーダーメイド矯正
あなたに合わせた
オーダーメイド矯正
こんなお悩みやご要望は
ないでしょうか?
- 人前に出る機会が増えたので、
歯並びを整えたい - あまり目立たない矯正がしたい
- できる限り歯を抜かずに矯正したい
- マウスピースやワイヤー治療など、自分にどんな方法が合っているのかわからない
- 子どもの矯正の場合、いつから始めたらいいかわからない
- 矯正歯科を得意とする歯科医に相談したい
- 治療方法や期間など、費用がどのくらいかかるか不安
- 矯正は痛みがあるのではないかと心配
- 矯正治療が上手くいかなかった経験がある
- 矯正治療に興味はあるけれど、
自分に必要かどうか判断できない
あなたに合わせたオーダーメイド矯正
あなたに合わせた
オーダーメイド矯正
「後悔のない納得のいく矯正治療」を理念として掲げています。
矯正治療は見た目の改善に加えて、むし歯や歯周病の予防、噛み合わせの改善など歯の健康にもつながるもの。マウスピース矯正など見た目に配慮した治療法を選択するだけでなく、「歯並びがしっかり改善されること」を大切にしています。
矯正治療は見た目の改善に加えて、むし歯や歯周病の予防、噛み合わせの改善など歯の健康にもつながるもの。マウスピース矯正など見た目に配慮した治療法を選択するだけでなく、「歯並びがしっかり改善されること」を大切にしています。

10年以上の経験をもとに、後悔のない確かな結果をお届けします
矯正治療は「人生が変わった!」と感じていただける素晴らしい治療です。
キレイな歯並びになって笑顔で喜んでいる患者さまの姿を見ると、この仕事をしていて本当に良かったと幸せを感じます。
丁寧なカウンセリングと的確な診断を心がけ、「矯正治療をしてよかった」と言っていただけるよう患者さまと全力で向き合ってまいります。
歯科医師 渋谷佳紀

10年以上の経験をもとに、後悔のない確かな結果をお届けします
矯正治療は「人生が変わった!」と感じていただける素晴らしい治療です。
キレイな歯並びになって笑顔で喜んでいる患者さまの姿を見ると、この仕事をしていて本当に良かったと幸せを感じます。
丁寧なカウンセリングと的確な診断を心がけ、「矯正治療をしてよかった」と言っていただけるよう患者さまと全力で向き合ってまいります。
歯科医師 渋谷佳紀
略歴
- 新潟大学歯学部卒業
- 新潟大学医歯学総合病院臨床研修修了
- 群馬県内歯科医院勤務
- 埼玉県内矯正専門医院勤務(矯正臨床部門の統括責任者として従事)
- フリーランス矯正医として6医院と提携し活動中
所属
- 日本矯正歯科学会
- 日本成人矯正歯科学会
- CIAOアライナー矯正勉強会
- プレオルソ研究会
- 矯正歯科長期安定研究会
矯正治療が必要な理由

笑顔に自信を持てるようになり
第一印象がよくなる

噛み合わせが改善し
歯が長持ちする

歯並びが整うことで
虫歯や歯周病に
なりにくくなる
矯正治療を始める第一歩を
踏み出してみませんか?
ただ歯並びを整えるだけでなく、患者さまの人生にプラスの変化があればと願っています。
大人から子どもまで、ワイヤー矯正やマウスピース矯正など幅広いニーズに応える治療をおこなっております。
みなさまが安心して治療を受けられるように。
「家族や友人にもおすすめしたい!」と言っていただけるように。
もし、あなたやあなたのお子さまの歯並びでお悩みなら、ぜひ一度ご相談ください。
人生を豊かにする矯正治療をスタートしましょう。
ただ歯並びを整えるだけでなく、患者さまの人生にプラスの変化があればと願っています。
大人から子どもまで、ワイヤー矯正やマウスピース矯正など幅広いニーズに応える治療をおこなっております。
みなさまが安心して治療を受けられるように。
「家族や友人にもおすすめしたい!」と言っていただけるように。
もし、あなたやあなたのお子さまの歯並びでお悩みなら、ぜひ一度ご相談ください。人生を豊かにする矯正治療をスタートしましょう。
選ばれる4つの理由

最新技術と豊富な経験に基づく
安心の矯正治療
最新の3Dスキャナーなどを活用し、治療後のイメージを事前に確認できます。矯正歯科治療を専門的に行ってきた10年以上の経験と豊富な症例をもとに、患者さま一人ひとりに合った最適な治療計画を立て、全ての患者さまを診断から治療まで渋谷佳紀が責任をもって担当します。
安心しておまかせいただける、丁寧で寄り添う矯正治療を心がけています。

見た目に配慮した
高品質な治療をご提案
マウスピース矯正やワイヤー矯正など、さまざまな装置に対応。
見た目やライフスタイル、お子さまの場合は成長段階に配慮しながら、治療を進めてまいります。
また、お子さまの矯正に関しては夜寝るときのみの装置の使用で痛みも少ないため安心です。

お子さまから大人まで
幅広い世代に対応
5歳頃から始められる小児矯正から、60代以上の成人矯正まで幅広く対応。
年齢やライフスタイルに合わせた治療法をご提案できるため、ご家族みなさまで安心して通っていただけます。

安心して治療ができる
丁寧なカウンセリング
矯正治療に対する不安を少しでも軽減できるよう、痛みの少ない装置の選定やわかりやすく丁寧な説明を心がけています。
治療内容にご納得いただいたうえで、安心して通っていただけるよう全力でサポートいたします。
矯正装置のご紹介
患者さまのご希望や症例に合わせて、
「マウスピース矯正」「ワイヤー矯正」のどちらも対応可能ですのでお気軽にご相談ください。
お子さまの矯正
6〜9歳ごろから始めることが推奨されており、早い段階で治療することで取り外し可能な装置を使用できます。
痛みも少なく夜間のみの装着で済むため、お子さまにも優しい矯正治療です。
また、多くのケースで永久歯の抜歯を回避できる可能性があり、長期的な治療ではなく、限られた期間での治療ができます。
この治療は「適した時期」が限られているため、時期を逃さず早めのスタートがおすすめです。
お子さまの将来のために、安心・安全な矯正治療をご検討ください。
拡大装置
あごの幅を広げるための装置で、歯列や噛み合わせを改善し将来的な歯並びを整えるために使用されます。

歯列矯正用咬合誘導装置
(プレオルソ)
成長期にあるお子さまの歯列やあごの発育をサポートし、理想的な噛み合わせを促すことを目的としています。
簡単に取り外しが可能で不快感も少ないため、お子さまが嫌がりにくいのも特徴です。

大人の矯正
ワイヤー矯正
歯並びや噛み合わせを改善するために、ワイヤーで歯を徐々に正しい位置に移動させます。
表側矯正による治療で、目立ちにくいホワイトワイヤーを使用しておこないます。

裏側矯正
歯の裏側(舌側)に装着する矯正方法で、外から矯正装置が見えにくく周囲に矯正していることを気付かれにくいのがメリットです。

マウスピース矯正
・インビザライン・エンジェルアライナー
・インビザライン
・エンジェルアライナー
透明なマウスピースで歯列矯正するため、装着していてもほとんど目立ちません。
取り外しが簡単で、歯磨きもしやすいです。
刺激や痛みも少なく不快感も少ない、抜歯も含めたほぼ全てのケースに対応可能です。



症例紹介
2015年〜2025年の間に1000件以上の矯正治療に携わってきました。
10年以上にわたり矯正歯科治療に携わってきた経験を活かして、
歯並びの改善に留まらず患者さまの人生をより豊かにするお手伝いをさせていただきます。
症例について気になることがございましたら、お気軽にご相談ください。
2015年〜2025年の間に1000件以上の矯正治療に携わってきました。
10年以上にわたり矯正歯科治療に携わってきた経験を活かして、歯並びの改善に留まらず患者さまの人生をより豊かにするお手伝いをさせていただきます。
症例について気になることがございましたら、お気軽にご相談ください。
治療前



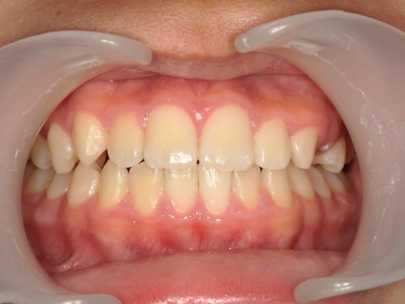
治療後

| 主訴 | 受け口が気になる |
|---|---|
| 対象 | 30代女性 |
| 治療法 | インビザラインによるマウスピース矯正 |
| 治療期間 | 約1年2ヶ月 |
| 治療費 | 約80万円+税 |
| 想定リスク等 | ・治療後の後戻り ・装着時間不足による歯の動き不良 (1日20時間以上の装着が必要) ・歯肉退縮、歯根吸収などの可能性 |
治療前



治療後

| 主訴 | ・出っ歯を治したい ・口元を引っ込めたい |
|---|---|
| 対象 | 10代女性 |
| 治療法 | ハーフリンガル(上は裏側、下は表側) |
| 治療期間 | 2年8ヶ月 |
| 治療費 | 107万円+税 |
| 想定リスク等 | 治療後の後戻り、歯肉退縮、歯根吸収等 |
治療前



治療後

| 主訴 | ・でこぼこを治したい、八重歯が気になる ・下の前歯が見えないのを治したい ・下の1番奥の歯が内側に倒れているのが気になる |
|---|---|
| 対象 | 20代女性 |
| 治療法 | 表側のホワイトワイヤー |
| 治療期間 | 2年3ヶ月 |
| 治療費 | 75万円+税 |
| 想定リスク等 | 治療後の後戻り、歯肉退縮、歯根吸収等 |
治療前



治療後

| 主訴 | 前歯が反対になってるのが気になる |
|---|---|
| 対象 | 7歳男児 |
| 治療法 | 拡大装置 |
| 治療期間 | 4年3ヶ月 |
| 治療費 | 37万円+税 |
| 想定リスク等 | 治療後の後戻り、装置を正しく使わないと治らない等 |
※掲載している症例は一例であり、治療結果には個人差があります。
※すべての方に同様の効果を保証するものではありません。
最新の症例や治療の様子は、Instagramでご紹介しています。ぜひご覧ください。
※掲載している症例は一例であり、治療結果には個人差があります。すべての方に同様の効果を保証するものではありません。
最新の症例や治療の様子は、Instagramでご紹介しています。ぜひご覧ください。
治療の流れ
お口のなかの簡単な診察をおこなった後、
・治療の内容
・使用する装置
・費用
・治療期間の目安
などについて丁寧にご説明いたします。
最新の口腔内スキャナーを使用し、治療後のイメージをその場でご覧いただけます。
ご相談だけでも大丈夫です。
気になることは何でもお気軽にご相談ください。
・口腔内写真
・顔貌写真
・レントゲン
・口腔内スキャン(3D)
など、診断に必要な資料を集めます。
検査結果をもとに治療計画を立て、
・使用する装置
・治療方針
・期間
・費用
などについて詳しくご説明します。
装置を装着して矯正治療が始まります。
必要に応じて抜歯をおこなう場合もあります。
来院頻度は1〜2ヶ月に1回程度です。
マウスピース矯正の場合は2〜4ヶ月に1回の来院になります。
歯並びと噛み合わせが整い、矯正治療が完了したら装置を外します。
治療後の歯並びを安定させるために、保定装置(リテーナー)を使用します。
また、虫歯や歯周病を防ぐための定期的な検診やクリーニングもおすすめしています。
矯正治療の費用
治療内容や症例により費用は変動する場合がございます。
まずはお気軽にご相談ください。
ご要望に合わせて最適なプランを提案させていただきます。
治療内容や症例により費用は変動する場合がございます。ご利用の際は、まずはお気軽にご相談ください。
ご要望に合わせて最適なプランを提案させていただきます。
| 項目 | 費用 (税込み) | 内容・装置名 |
|---|---|---|
| 無料矯正相談・3Dシュミレーション | 0 | 対面またはLINEで実施 |
| 精密検査・診断料 | 33,000 | レントゲン・スキャン・治療計画 |
| 子どもの矯正(Ⅰ期治療) | 77,000 〜440,000 | 拡大床・プレオルソなど 調整料:¥3,300/回 |
| 部分矯正 | 220,000〜 | 前歯のがたつきなど/短期治療 調整料:¥5,500/回 |
| マウスピース矯正 | 660,000 〜880,000 | エンジェルアライナー・インビザライン 調整料:¥3,300/回または¥5,500/回 ※処置内容によって料金が変わります |
| ハイブリッド矯正 | 1,100,000 | ワイヤー矯正とマウスピースの併用 調整料:¥5,500/回 |
| 表面ワイヤー矯正 | 660,000 〜880,000 | ホワイトワイヤー使用 調整料:¥5,500/回 |
| ハーフリンガル矯正 | 990,000 〜1,100,000 | 上裏側+下表側の組合せ 調整料:¥5,500/回 |
| 矯正用アンカースクリュー | 22,000/本 | 歯の移動を補助する小型ネジ |
まずは無料相談から
お問い合わせは、公式LINEより承っております。
ご相談だけでも大丈夫です。
お気軽にご連絡ください。
よくあるご質問
まずは無料相談から。
歯の健康を考えた矯正治療を
はじめましょう
矯正歯科治療に携わって約10年以上。
歯科という仕事、特に矯正治療への思いが強く、何があっても一生続けたいと思ってます。
矯正治療には人生を変える力がある。
プラスの変化をもたらすことができる矯正治療にとてもやりがいを感じています。
歯並びが綺麗になって嬉しそうな患者さんを見ると、この仕事をしていて本当によかったなと思います。
また、矯正は正しいゴールに辿り着くまでの過程を考えて治療していくため、非常に奥が深いです。
矯正治療を始めて、僕にお願いしてよかったと言ってもらえるように。
自分だけでなく家族にも治療を受けさせたいと思ってもらえるように。
これからも、患者さまの歯の健康を守るための矯正治療を提供していきたいと考えています。
悩んでしまう前に、まずはお気軽にご相談ください。
あなたに合わせたプランで安心して矯正治療をスタートさせましょう。
矯正歯科治療に携わって約10年以上。歯科という仕事、特に矯正治療への思いが強く、何があっても一生続けたいと思ってます。
矯正治療には人生を変える力がある。
プラスの変化をもたらすことができる矯正治療にとてもやりがいを感じています。
歯並びが綺麗になって嬉しそうな患者さんを見ると、この仕事をしていて本当によかったなと思います。
また、矯正は正しいゴールに辿り着くまでの過程を考えて治療していくため、非常に奥が深いです。
矯正治療を始めて、僕にお願いしてよかったと言ってもらえるように。自分だけでなく家族にも治療を受けさせたいと思ってもらえるように。
これからも、患者さまの歯の健康を守るための矯正治療を提供していきたいと考えています。
悩んでしまう前に、まずはお気軽にご相談ください。
あなたに合わせたプランで安心して矯正治療をスタートさせましょう。
提携医院紹介・アクセス
木村歯科医院

矯正診療日:木曜午後と金曜午後、それぞれ月1回の矯正診療を行っています。
| 月 | 火 | 水 | 木 | 金 | 土 | 日 | 祝日 | |
|---|---|---|---|---|---|---|---|---|
| 午前 | ○ | ○ | – | ○ | ○ | ○ | – | – |
| 午後 | ○ | ○ | – | ○ | ○ | ○ | – | – |
午前9:00~13:00 / 午後14:00~18:00
土曜日の診療は17:00まで
守谷歯科医院

矯正診療日:火、金の午後、土の午前にそれぞれ月1回の矯正診療日を設けています。(詳しくは、ホームページの『お知らせ』をご覧ください。)
| 月 | 火 | 水 | 木 | 金 | 土 | 日 | 祝日 | |
|---|---|---|---|---|---|---|---|---|
| 午前 | ○ | ○ | ○ | △ | ○ | ○ | – | – |
| 午後 | ○ | ○ | ○ | △ | ○ | ○ | – | – |
午前9:00~12:00 / 午後13:30~18:30
△:木曜日は訪問診療
土曜日の診療は18:00まで
つなしまファミリー歯科

矯正診療日:月1回、月曜午後に矯正診療を行っています。次回 2月16日
| 月 | 火 | 水 | 木 | 金 | 土 | 日 | 祝日 | |
|---|---|---|---|---|---|---|---|---|
| 午前 | ○ | ○ | ○ | ○ | ○ | ○ | ○ | – |
| 午後 | ○ | ○ | ○ | ○ | ○ | ○ | ○ | – |
午前9:00~13:30 / 午後14:30~19:00
いちかわ歯科医院

矯正診療日:月曜午後月2回、水曜午後月1回の矯正診療を行っています。
(詳しくは、ホームページの『お知らせ』をご覧ください。)
| 月 | 火 | 水 | 木 | 金 | 土 | 日 | 祝日 | |
|---|---|---|---|---|---|---|---|---|
| 午前 | ○ | ○ | ○ | ○ | ○ | ○ | – | – |
| 午後 | ○ | ○ | ○ | ○ | ○ | ○ | – | – |
午前9:00~13:00 / 午後14:30~19:00
土曜日の診療は18:00まで
ごんべー山の歯いしゃ

矯正診療日:毎月1回、木曜午後に矯正診療を行っています。次回 2月5日
| 月 | 火 | 水 | 木 | 金 | 土 | 日 | 祝日 | |
|---|---|---|---|---|---|---|---|---|
| 午前 | ○ | ○ | ○ | ○ | ○ | ○ | – | – |
| 午後 | ○ | ○ | ○ | ○ | ○ | ○ | – | – |
午前9:00~13:00 / 午後14:30~18:30
土曜日の診療は18:00まで
和田歯科医院

矯正診療日:火曜、水曜、金曜の午後にそれぞれ月1回の矯正診療を行っています。
| 月 | 火 | 水 | 木 | 金 | 土 | 日 | 祝日 | |
|---|---|---|---|---|---|---|---|---|
| 午前 | ○ | ○ | ○ | – | ○ | ○ | – | – |
| 午後 | ○ | ○ | ○ | – | ○ | ○ | – | – |
午前9:00~12:30 / 午後14:00~18:00
土曜日の診療は17:00まで
未来の笑顔をつくる矯正治療を
一緒にはじめましょう
お問い合わせは、公式LINEより承っております。
ご相談だけでも大丈夫です。
お気軽にご連絡ください。

